Bonding tedavisi, dişlerdeki küçük şekil bozukluklarını ve aralıkları düzeltmek için uygulanan bir yöntemdir. Kırıkları ve estetik sorunları da hızlı şekilde onarır. İşlem sırasında diş yüzeyine kompozit reçine uygulanır. Malzeme doğal diş formuna uygun şekilde şekillendirilir. Bonding hem görünümü iyileştirir hem de dişe zarar vermeden estetik bir sonuç sunar. Tüm bu adımlar, bonding tedavisi nedir? sorusunun pratik karşılığını oluşturur.
Bonding Tedavisi Nedir? Kimler İçin Uygundur?
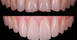
Dişlerde zamanla estetik bozukluklar ortaya çıkabilir. Küçük kırıklar, aralıklar, yüzey aşınmaları ve şekil bozuklukları bu sorunların başında gelir. Bu durum gülüş estetiğini etkiler. Bazı kişilerde özgüven kaybına bile neden olabilir. Bu nedenle hızlı ve koruyucu bir çözüm tercih edilebilir.
Bu aşamada bonding tedavisi, diş yüzeyine kompozit malzeme uygulanarak yapılır. Bu yöntem estetik düzeltme sağlar.İşlem ağrısızdır ve çoğu zaman tek seansta tamamlanır. Diş yüzeyi hafifçe hazırlanır. Ardından kompozit reçine uygulanır ve doğal forma uygun şekilde şekillendirilir. Işıkla sertleştirilen malzeme kısa sürede dayanıklı hale gelir. Bu yöntem, dişi aşındırmadan estetik bir görünüm sunar. Bu nedenle birçok kişi tarafından tercih edilir. Hızlı sonuç vermesi de önemli bir avantajdır.
Her kişi bu tedavi için aynı derecede uygun olmayabilir. Uygunluk dişin yapısına göre belirlenir. Küçük aralıkları olan kişiler için etkili bir çözümdür. Aynı şekilde hafif kırıklar ve yüzey düzeltmeleri için de tercih edilir. Diş boyu kısa olan kişilerde estetik uzatma amacıyla kullanılır. Diş renginden memnun olmayan kişilerde de parlak ve bütünlüklü bir görünüm sağlanabilir. Bu süreçte diş dokusunun sağlam olması önemlidir. Çünkü kompozit malzemenin tutunması için yeterli yüzey gereklidir.
Bu nedenle bonding tedavisi estetik kaygıları olan kişiler için uygundur. Diş dokusunu korumak isteyen kişilerde de etkili bir seçenektir. Gülüş tasarımında hızlı bir destek sağlar. Daha kapsamlı tedavilere göre ekonomik bir seçenektir. Doğru bakım ile uzun süre kullanılabilir. Düzenli fırçalama ve diş ipi kullanımı bu süreci destekler. Sonuç olarak bonding işlemi doğal bir görünüm sunar ve kişinin gülüş estetiğini belirgin şekilde iyileştirir.
Bonding Tedavisi Hangi Durumlarda Yapılır?
Dişlerde zamanla çeşitli estetik sorunlar oluşabilir. Küçük kırıklar, yüzey aşınmaları, renk farklılıkları ve dişler arasındaki boşluklar bu sorunlardan bazılarıdır. Bu durum hem görüntüyü etkiler hem de kişinin özgüvenini azaltabilir. Bazı kişilerde gülümsemekten bile kaçınma ortaya çıkar. Bu nedenle hızlı, güvenli ve koruyucu bir uygulamaya ihtiyaç duyulabilir.
Bonding işlemi, dişin doğal yapısını bozmadan estetik iyileştirme yapmayı sağlar. Uygulama çoğu zaman anestezi gerektirmez. Diş yüzeyi hafifçe hazırlanır ve kompozit malzeme dikkatle şekillendirilir. Bu yöntem hem pratik hem de konforludur. Aynı gün içinde gözle görülür bir sonuç alınabilir. Bu yönüyle minimal bir estetik çözüm sunar.
Bu süreçte bonding tedavisi, çok sayıda durumu düzeltmek için uygulanır. Dişler arasındaki küçük boşlukları kapatmak için tercih edilir. Hafif kırık ve çatlak bölgelerde görünümü düzeltir. Kısa dişlerde boy uzatma amacıyla da kullanılabilir. Renk uyumsuzluğu olan dişlerde daha bütünlüklü bir görünüm sağlar. Aşınmış yüzeyleri toparlar ve simetrik bir gülüş oluşturur. Diş dokusunu koruyan bir işlem olduğu için birçok kişi tarafından güvenle tercih edilir. Kapsamlı porselen uygulamalarına göre daha hızlıdır. Tek seansta tamamlanması büyük bir avantajdır.
Bonding uygulaması bazı durumlarda uygun olmayabilir. Dişlerde büyük madde kaybı varsa bu yöntem yeterli destek sağlamaz. Yoğun çürük, ileri seviye kırık veya ciddi şekil bozukluklarında farklı tedaviler gerekebilir. Bu nedenle diş hekimi değerlendirmesi önemlidir. Uygulama öncesi diş sağlığının iyi olması beklenir. Malzemenin yüzeye güçlü şekilde tutunması bunun için gereklidir.
Sonuç olarak bonding işlemi, küçük estetik problemler için ideal bir çözümdür. Doğru uygulandığında doğal bir görünüm oluşturur. Hem hızlı hem de minimal müdahale ile etkili sonuçlar verir.
Bonding Tedavisi Yöntemleri Nelerdir?
Bonding uygulaması, dişlerdeki küçük estetik sorunları hızlı şekilde düzeltmek için geliştirilen bir yöntemdir. Dişlerdeki aralıklar, yüzey aşınmaları, renk farklılıkları ve küçük kırıklar bu uygulama ile kolayca onarılabilir. Bu işlem, diş dokusuna minimal müdahale ile doğal bir görünüm kazandırır. Tek seansta estetik bir sonuç elde edilebilmesi yöntemin en önemli avantajıdır.
Bu aşamada bonding tedavisi, farklı tekniklerle uygulanabilir. En yaygın yöntem direkt bonding olarak bilinir. Bu yöntemde kompozit malzeme doğrudan diş yüzeyine uygulanır ve doktor tarafından şekillendirilir. Işıkla sertleştirilen malzeme kısa sürede dayanıklı hâle gelir. Bir diğer yöntem ise indirekt bonding tekniğidir. Bu teknikte kompozit malzeme laboratuvarda hazırlanır ve daha sonra dişe yapıştırılır. Daha detaylı estetik beklentilerde bu yöntem tercih edilebilir. Her iki yöntemde de amaç doğal bir görünüm oluşturmak ve diş fonksiyonunu korumaktır. Uygulama süresi kısa olduğu için çoğu hasta bu yöntemleri rahatlıkla tercih eder.
Yöntem seçimi dişin yapısına göre belirlenir. Küçük düzeltmeler için direkt bonding yeterlidir. Daha kapsamlı şekil bozukluklarında indirekt yöntem daha uygun olabilir. Tedaviden önce diş yüzeyi hafifçe hazırlanır. Bu hazırlık malzemenin dişe tutunmasını kolaylaştırır. İşlem sırasında ağrı hissedilmez. Çoğu zaman anesteziye gerek duyulmaz. Bu nedenle işlem oldukça konforludur.
Bonding yöntemlerinin bir diğer avantajı doğal diş dokusunu korumasıdır. Diş neredeyse hiç aşındırılmaz. Bu da yöntemi koruyucu estetik tedaviler arasında öne çıkarır. İşlem sonrası bakım da oldukça basittir. Düzenli fırçalama ve diş ipi kullanımı yeterlidir. Renk değişimini önlemek için ilk günlerde boyalı gıdalardan uzak durmak önemlidir. Sonuç olarak bonding yöntemleri, hızlı, koruyucu ve estetik bir çözüm sunar. Doğru uygulandığında doğal bir gülüş elde edilir.
Bonding Tedavisi Sonrası Süreç Nasıldır?
Bonding işlemi tamamlandıktan sonra diş hemen kullanılabilir. Ancak ilk günlerde hafif hassasiyet görülebilir. Bu durum normaldir ve kısa sürede azalır. Soğuk ve sıcak yiyeceklara karşı geçici hassasiyet oluşabilir. Bu süreçte dişi zorlayan hareketlerden kaçınmak önemlidir. Özellikle çok sert yiyecekler ilk birkaç gün önerilmez. Böylece malzemenin yüzeye uyum sağlaması kolaylaşır.
Bonding sonrası bakım süreci oldukça basittir. Düzenli fırçalama ve diş ipi kullanımı yeterlidir. Bu aşamada bonding malzemesinin doğal diş gibi temizlenmesi gerekir. Ağız hijyeni iyi olduğunda işlem uzun yıllar dayanabilir. İlk 24 saat boyunca çay, kahve ve koyu renkli içeceklerden uzak durmak faydalıdır. Çünkü bu içecekler malzemenin rengini etkileyebilir. Diş sıkma alışkanlığı olan kişilerin gece plağı kullanması önerilir. Bu cihaz malzemenin kırılmasını önler.
Kontroller bonding işlemi için önemli bir adımdır. Diş hekimi belirli aralıklarla kaplamanın yüzeye uyumunu değerlendirir. Gerekirse küçük düzeltmeler yapılır. Bu işlem hızlı ve ağrısızdır. Düzenli kontroller bondingin ömrünü uzatır. Ayrıca erken aşınma veya renk değişimi gibi durumlar bu kontroller sayesinde tespit edilir. Böylece işlem daha uzun süre sağlıklı şekilde kullanılabilir.
Sonuç olarak süreç hem konforlu hem de kolay yönetilebilir bir yapıya sahiptir. Hastaların günlük bakımına dikkat etmesi işlem başarısını artırır. Bondingin en büyük avantajı doğal bir diş hissi vermesidir. Tedavi sonrası gülüşte belirgin bir iyileşme ortaya çıkar. Tüm bu aşamalar tamamlandığında bonding tedavisi nedir? sorusunun pratik karşılığı daha net anlaşılır. Çünkü işlem, minimal müdahale ile estetik bir sonuç sunar ve kişinin günlük yaşam kalitesini yükseltir.

